En este trabajo se procederá a categorizar y subdividir lo que comúnmente se llama implantes post extracción, se presentara un caso tipo y un estudio estadístico de nuestra escuela demostrando y comparando el éxito de esta técnica con la convencional.
Material proporcionado por:
Dr. Osvaldo Tomas Cacciacane
Director de la E.S.i. Buenos Aires. Ex Profesor Adjunto de la Catedra de Clinica II de Operatoria y Prótesis UBA , Ex Profesor de la Catedra de Prótesis Combinada y prótesis sobre ImplantesUNLZ. Miembro de la Academia Ibero Americana de Implantologia y Periodoncia
Dr. Maximiliano Ricoso
Docente de la E.S.I. Bs. As. Docente de la catedra de Cirugía de la Universidad Nacional de La Plata
Dr. Lucas de los Ríos
Docente de la E.S.I. Bs..As.
Dr. Marcelo Wessolovki
Docente de la ESI Bs. As.
Hoy en día existe un avance en el concepto de mantenimiento y regeneración ósea. Es sabido que tras una extracción dentaria se produce una reabsorción del alveolo residual.
Planificar con el paciente si en el lugar en que realicemos esa extracción vamos a colocar un implante, ya que sino tendremos una gran reabsorción ósea y consecuentemente un defecto.
En este trabajo se procederá a categorizar y subdividir lo que comúnmente se llama implantes post extracción, se presentara un caso tipo y un estudio estadístico de nuestra escuela demostrando y comparando el éxito de esta técnica con la convencional.
Palabras clave: implante dental, implante post extracción, fijación primaria, ausencia de infección.
Summary
Today the concept of osseous maintenance and regeneration is in a new step. It is known that after a tooth extraction it takes place a reabsorption of the residual alveoli.
That is why it is convenient to plan with the patient the possibility of inserting an implant in the place where we did the extraction, because if not, there is going to be an important osseous reabsorption, and therefore a defect.
This work classifies and divides what it is usually call as “post extraction implants”. A clinic case it is going to be presented as an example, and a statistic analysis, made by our school, shows the advantages of this technique compared with the conventional.
Key words: Thoot implant; post extraction implant; primary fixing; infection absence.
Introducción:
El intento por reponer piezas dentarias en forma inmediata ha sido un anhelo histórico por parte de los dentistas quienes incorporaron, en forma empírica en el lecho cruento alveolar, elementos de diferentes y dudosa procedencia, sin un análisis de fundamentos biológicos que avalaran el acto quirúrgico.
Así podremos mencionar intentos de por Ej. Albucacis de Condue (936-1013), Paré (1530), Fauchard (1728). En nuestros tiempos, se intentaron técnicas de implantación con sistemas oseointegrados con éxitos relativos. (50 % de fracasos) hasta la serie mas importante publicada por Tolman y Keller, sobre un total de 303 implantes con una sobrevida de 296 a los 6 años superior al 90 % de los casos. (quintessence publish 1992).
Con el objetivo de optimizar la técnica debemos categorizar los procedimientos según la etapa en que será realizado; denominándose entonces:
• Implantes post extracción inmediatos.
• Implantes post extracción diferidos.
• Implantes post extracción tardíos.
Implantes post extracción inmediatos: son aquellos que se colocan en el momento de la extracción dentaria o antes de los dos meses siguientes.
Implantes Post extracción diferidos: Son aquellos que serán colocados entre los dos y seis meses después de la exodóncia.
Implantes post extracción tardíos: Se colocan entre los seis meses y 1 año de la exodóncia.
Las indicaciones que contraindican absolutamente la colocación de un implante inmediato son:
• Presencia de infección aguda
• Falta de fijación primaria.
Se detallaran las ventajas y desventajas de los implantes post extracción inmediatos:
Ventajas:
• Conservan patrimonio óseo y de tejidos blandos.
• Reducen los tiempos quirúrgicos.
• Menor tiempo de tratamiento.
• La extracción aporta vascularización muy favorable para el proceso de cicatrización y regeneración ósea.
• Permite una posición ideal del implante.
• Al no tener que perforar cortical generamos menor calor al corte con el instrumental rotatorio aún con refrigeración.
Desventajas:
• Tienen mayor complejidad (técnica quirúrgica).
• Presentan mayor dificultad para lograr anclaje primario.
• Pueden requerir rellenos óseos y/o membranas.
• Mayor dificultad para el cierre de la herida.
• Posibilidad de fractura de la tabla vestibular cuando esta es muy delgada.
• Necesidad de mayor experiencia profesional.
Indicaciones: Los implantes post extracción inmediatos están indicados por:
• Expulsión traumática
• Reabsorciones apicales de la raíz de dientes temporarios con agenesia del permanente.
• Fracaso de la terapia endodóntica.
• Fracturas dentales irrecuperables.
• Piezas con enfermedad periodontal irrecuperable.
Nos referimos a la técnica Quirúrgica que consiste en:
- Exodoncia: debe ser cuidadosa tratando de conservar la integridad del alvéolo. Ante la fractura en alguna pared alveolar se debe realizar una odontosección.
- Curetaje de los tejidos duros y blandos: este es paso más crítico si no se realiza correctamente las posibilidades de fracaso aumentan. Hay que remover el tejido de granulación y todo resto patológico que pudiera existir
- Valoración in situ del remanente óseo y de los tejidos peri dentarios: Se debe observar cuidadosamente el alveolo estudiando su forma, profundidad y diámetro.
Con una cureta se puede examinar todo el alvéolo en busca de dehiscencias, fenestraciones o fracturas de las paredes alveolares. Idealmente las paredes deben estar intactas, pero nunca debe faltar más de una pared alveolar. En este caso se ve el estado de salud, consistencia y capacidad de cierre de los tejidos blandos peri alveolares. - Labrado del lecho implantario: Se realiza con el fresado secuencial para el implante elegido, teniendo en cuenta que el implante debe tomar anclaje 3 a 5 Mm. en el hueso transapical.
- Colocación del implante; se lo coloca con la cabeza sumergida 1,5 a 2 Mm. Por debajo de la cresta alveolar.
Si la discrepancia existente entre el alvéolo y el implante es mayor a 2 Mm. y/o se ha perdido alguna tabla alveolar, se vera la necesidad de colocar algún elemento osteoformador y/o membrana. Los elementos de relleno óseo para regeneración no siempre funcionan. Cuando fracasan empeoran la situación.
Referimos brevemente sobre implantes post extracción diferidos:
Ventajas:
• Garantizan la ausencia de tejidos patológico en el sitio a implantar.
• Facilitan el anclaje primario del implante.
• Poseen mejor resultado estético final.
Desventajas:
• Pueden requerir relleno óseo y/o membranas.
• Duplican los tiempos quirúrgicos.
• Prolongan los tiempos de tratamiento.
Técnica quirúrgica:
1) Exodóncia: debe ser cuidadosa tratando de conservar integridad del alvéolo.
2) Curetaje de los tejidos duros y blandos, remover tejido de granulación y tejido patológico si hubiera
3) Valoración. in situ del remanente óseo.
4) Colocación del implante: se produce entre las 8 y 12 semanas después de realizada la exodóncia.
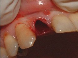
Caso Clínico: Reposición de lateral superior derecho
Imagen 1: Pieza extraída a integrun

Imagen 2: Lecho óseo respetando tej. Blandos

Imagen 3: Curetaje del lecho óseo

Imagen 4: Profundización en zona de ápice

Imagen 5: Localizar el paralelismo y eje del Ila fijación implantaría
![image005[1].JPG](/cms/archivos/imgsarts1/image005.jpg)
Imagen 6: Porta implante en posición

Imagen 7: Vista incisal de la fijación implantaría

Imagen 8: Sutura sin interferir la papila

Imagen 9: Imagen radiográfica de la fijación implantaría
Imagen 10: Adaptación del pilar, observar la ubicación de las papilas

Imagen 11: Prueba de metal. Adaptación del metal respetando papilas

Imagen 12: Corona recién cementada

Discusión
Evaluamos que obtenemos el grado de éxito en porcentajes con la inhalación de fijaciones implantarías tardías en hueso ya cicatrizado luego de la exodoncia en un tiempo mayor a ocho semanas, que en aquellas fijaciones que se han instalado en el mismo acto quirúrgico en que se realiza la extracción de la pieza dentaria. Además de conseguir una mejor adaptación de los tejidos blandos en lo que refiere a la estética.
En el siguiente cuadro podemos el grado de éxito que hemos obtenido en nuestra Escuela en los últimos años, en porcentajes, en el total de implantes instalados indistintamente en el maxilar superior como inferior
Años
1999
2001
2002
2003
Implantes diferidos
95%
98%
98%
98%
Implantes Inmediatos Transalveolares
78%
90%
98%
98%
Conclusiones
Comparamos con los trabajos de Keller publicados en 1996 , y podemos decir que son actuales que grado de éxito es similar al de las fijaciones implantarías instaladas en forma tardía con las transalveolares, agregándole de beneficio para el paciente la estética que se puede lograr, la menor perdida de nivel óseo , y la posibilidad de instálalas la fijación sin realizar ningún tipo de incisión, mejorando a distancia la calidad de los tejidos blandos, y los post operatorio de los pacientes , realmente es una técnica que nos esta dando excelentes resultados habiendo planificado cada caso, utilizando todos los medios de diagnostico al alcance con que podemos contar.
Referencias bibliográficas
1) Bases para el tratamiento implanto protético Dr. Osvaldo Cacciacane (2003).
2) Oseointegración Periodoncia Vol.11, nº1 M.Vila Biosca, J Ma Marcel Palau.
3) Revista del C.O.S.M.y.3. F. Vol. 8, nº3 Dr. Gabriel Arana.
4) Libro de postgrado en cirugía y traumatología bucomaxilofacial de la facultad de odontología de la Universidad de Buenos Aires modulo Nº6.
5) Watanabe K, Niími A, Ueda M. Autogenous bone grafos en the rabbit maxillary sinus. Oral Surg Oral Med Oral Pathol Oral Radiol Endod 1999; 88;26-32.
6) Ritter Fn, leeD. The paranasal sinuses, anatomy and surgical tehnique. St. Louis: The mosby Company, 1978; 6-16.
7) Tatum H. Lectures presented at the Alabama implant Study Group, 1977 (October 3-4).
8) Eckert- Mobius E. Die Kieferhohlenentzunl ung im kindersalter. Deutsche Stomatologie 1954; 170-177.
9) Chanavaz M. Maxillary sinus: anatomy, physiology, surgery and bone grafting related to implantology. Eleven years of surgical experience. J oral impl 1990; 16:199-209.
10) MischCe. Maxillary sinus augmentation for endosteal implants: organized alternative treatment plans. Int j Oral implantology 1987; 4:49-58.















